一种细胞培养微芯片的制作及应用
本文将微流体技术与细胞培养技术相结合,介绍了一种基于微系统平台控制细胞分布进行细胞培养的方法,该微系统芯片不需要借助于凝胶等介质以及对微流体流速的精确控制,只利用微通道之间的狭缝,能够有效的控制细胞的分布区域,实现培养区域的相对独立,而小分子的培养基和药物成分可以自由流动通过,实现了长时间的细胞培养。同时在该平台上可以对细胞状态进行实时观测,为药物筛选等提供了一个全新的细胞培养和筛选平台。
1实验方法
1.1 芯片制作
本实验中制作如图1(a)所示的细胞培养微芯片,其中b孔为细胞悬浊液进样孔,细胞培养通道的宽度为100μm,a孔和c孔为培养基或者刺激液进样孔,其管道宽度为200μm,该芯片的主要特点是如图1(b)所示的粗黑线处的通道高度仅为5μm的狭缝,该狭缝既可保证细胞培养区与微管道区的连通,又可以使这两个区域相对独立,保证细胞在固定的区域生长,而培养基和刺激液等小分子可以自由流通。该细胞培养微芯片制作的基本方法是先通过微加工技术在硅片表面制作出双层的SU-8负性光刻胶模具,然后通过模塑方法形成具有微结构的PDMS基片,最后与玻璃键合形成封闭的通道网络,用于细胞的培养和研究,其制作的工艺流程图如图2所示。芯片制作的关键工艺是通过制作双层的SU-8负性光刻胶模具形成狭缝,下面详细介绍芯片制作的工艺过程。
图1芯片的结构示意图Fig.1Schematicmapofthechip(a)Structuresofthechip;(b)diagramofthecross-sectionalviewofthemicrochannel
图2芯片制作流程示意图Fig.2Schematicillustrationofproceduretofabricatethechip
首先是利用SU-8负性光刻胶进行“多次光刻、一次显影”[12]工艺制作双层的细胞芯片模具。将硅片在Piranha洗液(硫酸和双氧水按5:1混合)中煮沸10min,冷却后用去离子水冲洗干净,氮气吹干后在200oC烘箱中烘30min。在清洗干净并烘干的硅片上甩涂稀释的负性光刻胶SU8-2025(MicroChemCorp.,MA,USA),放在热板上在65oC烘1min然后升温至95oC保持2min,缓慢降温至室温。在光刻机中将第一层掩模版与硅片对准,曝光,然后对基片进行PEB(Postexposedbake,PEB),即在热板上65oC烘1min然后升温到95oC保持1min,缓慢降温至室温,这样就将第一层的图形转移到SU-8光刻胶上。再将第二层SU8-2025甩涂于基片表面,在热板上加热到65oC保持1min然后加热到95oC保持3min冷却至室温完成前烘,对准第二层掩模曝光,将硅片放到热板上加热到65oC保持1min然后升温至95oC保持3min完成PEB,缓慢冷却至室温,最后超声辅助显影,形成双层的SU-8模具。
将PDMS(DowCorning,Michigan,USA)单体与固化剂按照10:1的比例混合均匀后,抽真空后进行脱气处理,浇注在有SU-8微结构的硅片上,放置在80oC的热板上固化1h,冷却后从硅片表面剥离,打孔,并切割成合适的大小备用。
将制备好的具有微结构的PDMS和清洗干净的玻璃片或无结构的PDMS基片放入氧离子表面处理机中对其表面处理15s,取出后将二者迅速贴合,形成封闭的微通道网络,完成细胞培养微芯片的制作。
1.2 微芯片内细胞培养
注入芯片内培养的细胞采用实验室常规培养的3T3细胞和B-Cap细胞(上海市第九人民医院组织工程中心)。细胞培养液为DMEM(Gibco),加入10%的胎牛血清(杭州四季青生物工程材料有限公司)和100μL/mL的链青霉素(吉诺生物医药技术有限公司,杭州),消化液为0.25%的胰酶和0.02%的EDTA(吉诺生物医药技术有限公司,杭州)。
将制作好的细胞培养微芯片用75%的酒精浸润,然后放入常规细胞培养皿(PolystyrenePetridish)中,用紫外线照射1h,进行消毒。为利于细胞在微通道内贴壁生长,在微通道内导入细胞培养液浸润过夜,使芯片表面包被蛋白。将生长状态良好的细胞进行消化,吹散打匀,通过进液孔导入芯片内,放入培养箱内进行培养。培养过程中每隔一天更换芯片内部的培养液。培养箱外培养时,将导入细胞的芯片放在ITO玻璃加热平台上,同时在培养基内添加与DMEM等量的Leibovitz’sL-15(Gibco)以保证细胞外基质的酸碱度稳定[13],并且每12h补充一次培养液,以保证培养基的稳定。
1.3 细胞活性检测
芯片内贴壁生长的细胞活性通过Live/deadviability/cytotoxicitykit试剂盒(Molecularprobes)进行检测。细胞在芯片内生长72h后,先通入PBS清洗5min,再通入含2μmol/LCalceinAM和4μmol/LEthidiumhomodier-1(EthD-1)的混合液在室温下孵育30min,然后立即在荧光显微镜(Olympus)下观察并拍照。
2结果与讨论
2.1材料选择
制作细胞芯片的材料可以是硅、玻璃、PDMS等生物兼容性材料。硅材料虽然具有良好的微加工性能,但是由于透光性不好,不便于观察细胞的形态,因此硅材料多用于刻蚀或者是在其表面用负胶加工制作模具,用于模塑的方法形成细胞培养芯片。玻璃不仅具有良好的微加工性能,还具有很好的透光性和生物兼容性,被广泛的用于细胞芯片的制作,但是由于其不透气性,因此采用全玻璃材料制作细胞芯片时需要在培养液中溶入足够的氧气,并且频繁更换培养液或者是采用灌流的方法才能保证细胞的生长。PDMS是目前微加工技术中广泛应用的一种材料,由于其可以通过模具批量加工,生产成本低,且PDMS具有很好的透光性、生物兼容性和透气性[14],是制作细胞培养微芯片的优良材料。
本实验中通过PDMS与玻璃键合制作细胞培养微芯片,既有良好的生物兼容性,又便于实验过程中的观察,还因为材料优良的透气性特点,可以满足细胞生长过程中对气体氛围的要求,更有利于细胞的在片培养和实时观测。
2.2SU-8双层模具的制作
目前,基于SU-8负性光刻胶加工模具的技术得到广泛应用。实验中使用的细胞培养微芯片的模具是将双层结构做到一片硅片上,采用“两次曝光,一次显影”方法制作的SU-8负性光刻胶模具,可以简化模具的制作工艺流程,避免模塑成型后繁琐的结构对准步骤进行键合,提高芯片的制作效率和成品率。
2.3可变式的芯片结构
将进样孔打在有微结构的基片上和在没有微结构的基片上,芯片内的微缝的位置会不同。如图3(a)所示,若将液体进样孔开在具有微结构图形的基片上,然后与没有微结构的基片键合,则微缝在芯片底部;如图3(b)所示,若将液体进样孔开在没有微结构图形的基片上,然后与具有微结构的基片键合,则微缝在芯片的顶部。这样通过一个模具基片可以制作出两种特点不同的细胞培养微芯片,可以根据实验的需要选择适当的结构。当微缝在芯片底部时,可以保证液体流动区的液体对细胞的直接刺激;当微缝在芯片顶部的时候,可以有效地隔离液体流动区对于细胞培养区细胞产生的剪切力等的影响,通过微流体的扩散作用对细胞提供养分和进行研究。最后制成的芯片如图4(a)所示,4(b)和4(c)为管道微结构的显微镜的图片,可以清楚地看到中间的细胞培养区域和两侧的微流体区域有微小的狭缝相通。
图3两种芯片结构示意图Fig.3Schematicmapsoftwodifferentchips
图4芯片图Fig.4Viewsofthechip(a)themicrodevices;(b)structureofthemicrochannel;(c)cross-sectionalviewofthemicrochannel
2.4细胞的固定、在片培养与检测
为了实现细胞在固定区域的培养,芯片内细胞培养区域与周围的微通道区域之间连通的狭缝的高度为5μm,而细胞的直径约为10~20μm,因此,细胞悬浊液从细胞培养区的进样孔导入芯片后,通过狭缝的拦截及微流体的流动使细胞只分布在细胞培养区域,有效的控制细胞的分布区域。图5(a)为3T3细胞刚导入后芯片内在微缝处的分布图,可见狭缝对细胞有很好的拦截作用;图5(b)为3T3细胞在培养区域内贴壁生长的状态,说明细胞在该芯片内生长状态良好。图5(c)和5(d)为细胞活性检测试剂盒对72h后芯片内同一区域内的B-Cap细胞进行荧光染色的照片,由于calceinAM亲脂性很高,能够穿透细胞膜脱去AM基,使活细胞发出绿色荧光(如图5(c)所示),而EthD-1不能穿透细胞膜,因此只能使死细胞激发红色荧光(如图5(d)所示)。芯片内绝大部分细胞呈现绿色荧光,只有很少量红色细胞,表明细胞在该芯片内有很高的成活率,适宜进行细胞培养和实验。
图5细胞在芯片内的图片Fig.5Cellsinthechip(a)cellslaybesidesthedamafterinfused;(b)cellsgrowthinthechip;(c)stainingwithCalceinAM;(d)stainingwithEthD-1
2.5培养箱外细胞培养和实时观测
细胞状态的实时观测是细胞研究的需要。脱离了培养箱的培养,由于无法满足温度以及酸碱度的条件,因此调整这些因素以保证细胞能够正常生长。因此,实验中通过添加Leibovitz’sL-15以保证细胞外基质的酸碱度稳定;利用实验室自制的ITO玻璃加热平台上进行培养[15],保证细胞生活所需要的温度条件;以及每12h补充一次培养液或灌流的方法,保证培养基的稳定。通过以上三个条件的优化,该微芯片成功的应用于培养箱外细胞培养,图6为3T3细胞在箱外培养2d的图片,细胞仍保持良好状态。
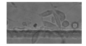
图63T3细胞在培养箱外培养2d的照片Fig.63T3cellsculturedoutsidetheincubatorafter2days
3小结
采用“两次光刻,一次显影”技术制作SU-8负性光刻胶模具,浇注PDMS,固化成形和键合工艺制作的具有狭缝的微系统芯片,能够有效控制细胞在芯片内的分布,实现细胞在微芯片内长时间培养,并且可以根据狭缝的位置不同设计不同的芯片结构,满足多种实验要求。同时该芯片可在培养箱外进行细胞培养,能够保持细胞的活性,进行细胞状态的实时监测。该芯片将微流体技术和细胞培养技术有机结合,为基于微系统技术进行细胞研究提供了一种新的研究平台。
文献来源生物工程学报 作者:邵建波,吴蕾,金庆辉,赵建龙
(转载仅供参考学习及传递有用信息,版权归原作者所有,如侵犯权益,请联系删除)
