栖凤楼论坛信息社区,良家论坛一品楼,一品阁楼论坛,万花楼论坛网

首页 > 技术资讯 > 行业咨讯

新型微流控装置帮助检测血液中的多发性骨髓瘤细胞

据麦姆斯咨询报道,科学家们开发出一款未来可以用于非侵入性检测或监测多发性骨髓瘤疾病进展的微流控装置。

该装置可以帮助研究人员检测到血液中循环的某些类型细胞,这些细胞与患者较短的生存时间相关。现有方法并非总能检测到患者血液中低含量的这类细胞。

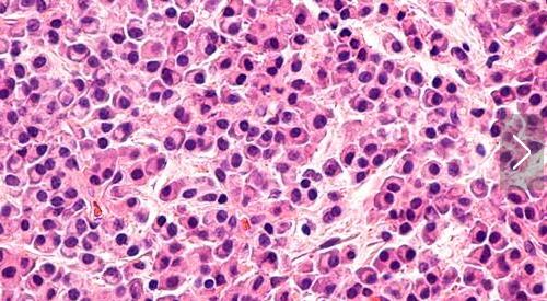
关于多发性骨髓瘤

多发性骨髓瘤是一种以浆细胞为白细胞表现形式的血液癌。这些细胞通常通过产生靶标病原菌抗体来对抗健康人的感染。

多发性骨髓瘤

多发性骨髓瘤

这种癌症形成于骨髓,即红细胞形成的地方。恶行浆细胞在骨髓中累积并最终超过健康血细胞的产生。这些恶性细胞产生的不是有益抗体,而是导致一系列健康并发症的异常蛋白质。

这种情况称之为多发性骨髓瘤,因为它会影响身体的各个部位,包括头骨、骨盆、肋骨和脊柱。在疾病早期可能没有任何症状,但是随着疾病的发展,最终会导致疼痛和骨质疏松、肾脏问题、疲劳、恶心、体重减轻和反复感染。

根据美国癌症协会的最新估计,每年会诊断出近27,000例多发性骨髓瘤病例,其中有超过11,000例患者死亡。

某些恶性浆细胞从骨髓进入血液

最新研究表明,某些恶性浆细胞会离开骨髓进入血液。这些在血液中存活的细胞被称为循环克隆浆细胞(circulating clonal plasma cells,以下简称cCPCs),此前被认为与患者较短的生存时间有关。

到目前为止,当这些cCPCs含量较低时,用现有方法很难检测到。

新装置可以检测并过滤少量血液样本中的细胞

正如最近在《微流控》(Microfluidics)期刊上报道的那样,美国物理研究所(American Institute of Physics)的研究人员开发了一款可以检测和过滤少量血样中cCPCs的新装置。该过滤装置能够基于微流控原理将恶性浆细胞从健康细胞中分离出来。研究团队在该装置的流动通道中设计了微小的柱子,以使其捕获恶性细胞,同时使健康的血细胞通过。

(A)微流控芯片的总体布局;(B)微柱的详细尺寸

A)微流控芯片的总体布局;(B)微柱的详细尺寸

该团队使用计算模型开发该装置,使他们能够比较不同形状和大小的柱子。研究表明,菱形柱具有最低的流动阻力,可以使这些柱子更长、更尖以改善其过滤作用。

3.jpg

Biomicrofluidics所述,模拟显示多发性骨髓瘤癌细胞被卡在新过滤装置的微柱之间。蓝色轮廓是cCPC,流体是从上到下流动的。

红细胞是血浆细胞中最小的,直径范围为6到8微米。白细胞较大,直径范围为7到30微米。恶性cCPCs则更大,直径范围为30到50微米,最小的cCPCs与最大的白细胞尺寸相似。

但是,白细胞可以改变形状并在柱子之间挤过,cCPCs则较硬,无法改变形状,因此会被卡在过滤器中。

研究人员使用培养的癌细胞和多发性骨髓瘤患者的血液样本测试了该款过滤装置。实验表明,从多发性骨髓瘤活跃患者身上捕获的cCPCs数量远大于从疾病缓解患者和健康人群中捕获到的cCPCs数量。

该研究的作者Lidan You表示,“该装置作为一种非侵入性方法,在多发性骨髓瘤疾病进展的早期检测或监测方面展现出了巨大的潜力?!?/span>